臨床呈現
疼痛指數2~3分,沒有伴隨症狀,沒有神經學異常
身體直立的時候比較痛,躺下來的時候就不痛了
此外疼痛的發生跟用力無關,跟夜眠無關,也沒有明顯的症狀進展
右側頭部與頸部壓痛,我判斷是頸部異常造成的頭痛,就讓他開藥回去了
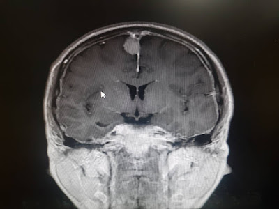
影像檢查
一個月後在神經內科做了MRA
1. 顱內低腦壓 intracranial hypotension
2. 腦膜瘤 menigioma 1cm
案例啟發
本案例的關鍵表現在於直立式頭痛(orthostatic headache)是顱內低腦壓的特徵
自發性顱內低腦壓(spontaneous intracranial hypotension)
每年的發生率為每10萬個人中有5人
好發於40歲的年紀,女性的發生率為男性的兩倍
這是一個很容易誤診的疾病
由於經常沒有神經學症狀,不太會安排影像檢查
一直要到做完MRI才能夠發現病因(也就是說做了CT還是會誤診)
至於腦瘤目前還無法從臨床表現上發現線索,也不能解釋為頭痛的原因
應該視為無症狀的腫瘤
腦膜瘤的年發生率為每10萬個人中有6人
平均診斷年齡為65歲,女性的發生率為男性的兩到三倍
因此根據直立式頭痛的特徵,懷疑低腦壓而安排影像學檢查是合理的


